中文

新闻媒体

黎功教授:肝癌精准靶向药物显奇效,4个月治疗靶病灶消失

01 13,2025
和誉医药
返回

编者说:肝细胞癌(HCC)是最常见的恶性肿瘤之一,恶性程度高,国内超过60%的患者一发现即为中晚期,主要治疗手段为介入治疗和系统性的药物治疗。近年来,以口服多靶点酪氨酸酶抑制剂和免疫检查点抑制剂为基础的靶免联合治疗已经成为当代标准治疗。虽然领域有了长足的进步,但大部分患者仍会在靶免治疗中进展,国内外都期盼一款全新机制药物的出现,打破HCC后线治疗的僵局。本期“黎说病例”将分享一例晚期后线HCC患者通过接受靶向FGFR4药物ABSK-011的治疗,实现CR(肿瘤完全消失)患者的诊疗过程。

病例介绍

患者某,男,XX岁,ECOG PS:1

病史回顾:

(初诊)该患者2021-5月体检发现肝结节,2022-5-5行肝肿瘤活检术确诊HCC,AFP16000。

(靶免转化治疗)同月开始TACE(1次)+仑伐替尼+替雷利珠单抗一线靶免系统治疗,最佳疗效PR。后于2022年8月19日行肝癌切除术(左半肝切除、部分V、VIII段切除、胆囊切除),术后病理提示:肝细胞癌,肿瘤大小9*5*5cm,距切缘0.5cm,中低分化。术后继续行仑伐替尼+替雷利珠单抗靶免治疗。

2023年5月复查AFP增高,PET-CT提示肝脏切缘吻合器周围条形高代谢,考虑肿瘤残存或复发可能。2023年5月19日开始二线治疗:瑞戈非尼+替雷利珠单抗,至2023年9月17日结束,最佳疗效未知。期间,肝部复发灶行姑息性放疗。于2023年9月4日外院行影像检查提示进展。

患者于9月6日至我院求诊,考虑符合ABSK-011-101研究入组要求,知情后送检肝组织样本,检测结果FGF19阳性,进行入组筛选。

既往史:高血压(2022-5年至今)、失眠(2022-5至今)、脾亢、甲状腺功能异常等

体格检查:无特殊

影像学检查:

(全腹部CT 2023-9-22)肝内异常强化结节,考虑转移;肝囊肿、脾大、前列腺钙化。

(胸部CT 2023-9-21)右肺上叶磨玻璃结节,炎性病变?两肺轻度间质性改变、右侧少量胸腔积液

疾病分期:依照2012年BCLC分期:B期;无肝外转移,无血管侵犯。一般及生化状态指标:AFP 294ng/mL;ECOG 0分;Child-Pugh评分为5分(A级)无腹水,总胆红素 8.5umol/L,白蛋白(溴甲酚绿法)42.7g/L,凝血酶原时间11.8sec,无肝性脑病。

治疗经过:

患者从2023年9月28日起服用FGFR4高选择抑制剂ABSK-011;

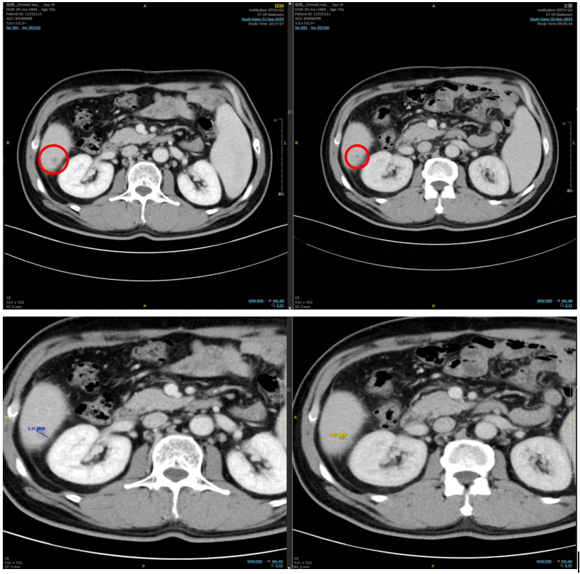
2023年11月23日复查腹部CT,提示靶病灶较前缩小61%,疗效评估PR;

2024年1月15日再次复查腹部CT,提示靶病灶完全消失,疗效评估cCR临床完全缓解;

图片

治疗前后的影像学评估(左上左中(2023-9-22腹部CT)、右上右中(2023-11-23腹部CT)

图片

(2024-1-15 腹部CT )

总体疗效评估:影像学确认的CR(RECIST v1.1),该患者仍在继续治疗中。

治疗安全性:患者在治疗过程中出现轻度的AST和ALT升高,考虑与研究药物相关,保肝治疗后缓解。

专家点评:

原发性肝癌是全世界范围内常见的消化系统恶性肿瘤。在我国恶性肿瘤中,肝癌发病率和死亡率分别排列第4位和第2位,年新发高达41.0万人[1]。肝癌的发病机制较为复杂,是多阶段和多因素相互作用的结果,其中国内常见诱因为慢性乙型肝炎病毒感染[2]。

肝癌早期较为隐匿,大多数(>60%)患者一经发现时已经是中晚期,无法通过根治性手术完全切除肝脏上的肿瘤。系统性治疗药物是中晚期HCC重要的手段,主要包括口服多靶点酪氨酸抑制剂药物(如仑伐替尼、瑞戈非尼等)、抗血管生成单抗(贝伐珠单抗等)及免疫检查点抑制(如阿替利珠单抗、信迪利单抗等)[3]。其中,IMbrave150研究、Orient-32研究及CARES-310研究相继证实了一线靶免联合治疗的生存获益,患者的总生存期从不足12个月延长至最多22个月[4-6]。虽然肝癌一线系统治疗在近五年中取得了突破性的进展,后线治疗的发展却陷入停滞。既往的标准二线治疗药物如瑞戈非尼和雷莫芦单抗的临床研究纳入索拉非尼进展的人群,而帕博利珠单抗、替雷利珠单抗及卡瑞丽珠单抗的临床研究则纳入的人群为化疗或索拉非尼进展的人群,以上研究均未探讨药物在靶免治疗进展后的人群的疗效[7-11]。

和誉ABSK-011是国内首个自主研发的口服高选择性FGFR4小分子抑制剂。I期临床研究ABSK-011-101在2023年ESMO大会公布初步临床数据。结果显示,在FGF19过表达且靶向治疗和/或免疫治疗进展的后线人群中,ABSK-011 220mg每日两次服药组超过40%的患者产生了应答[12]。与之相比,瑞戈非尼和阿帕替尼的客观缓解率仅为7%和11%,而免疫治疗药物帕博利珠单抗、卡瑞利珠单抗和替雷利珠单抗也仅为13%~15%。ABSK-011可以说是未来肝癌后线标准治疗的有力竞争者,是中国晚期肝癌患者的福音。本科室作为ABSK-011临床研究的研究中心之一,正在招募靶免治疗后进展的肝癌患者。

本例患者为两线靶免治疗进展的HCC患者,一线行TACE联合靶免转化治疗获得手术机会,完成肿瘤切除。术后提示肿瘤复发,换用二线靶免治疗,但4个月后再次进展,至此患者已无确切有效的药物选择。考虑患者满足正在开展的ABSK-011-101研究的入排标准,筛选后成功入组。患者接受ABSK-011治疗2周期后病灶显著缩小,4周期后靶病灶完全消失,疗效评估为cCR。该案例提示靶免治疗进展的HCC患者可以从ABSK-011治疗中获益,结合ABSK-011已经发表的数据,该药物可能成为未来HCC后线标准治疗的有力竞争者。

参考文献:

1. Cao W, Chen HD, Yu YW, Li N, Chen WQ. Changing profiles of cancer burden worldwide and in China: a secondary analysis of the global cancer statistics 2020. Chin Med J (Engl). 2021 Mar 17;134(7):783-791. doi: 10.1097/CM9.0000000000001474. PMID: 33734139; PMCID: PMC8104205.

2. Yang JD, Hainaut P, Gores GJ, Amadou A, Plymoth A, Roberts LR. A global view of hepatocellular carcinoma: trends, risk, prevention and management. Nat Rev Gastroenterol Hepatol. 2019 Oct;16(10):589-604. doi: 10.1038/s41575-019-0186-y. Epub 2019 Aug 22. PMID: 31439937; PMCID: PMC6813818.

3. Xie D, Shi J, Zhou J, Fan J, Gao Q. Clinical practice guidelines and real-life practice in hepatocellular carcinoma: A Chinese perspective. Clin Mol Hepatol. 2023 Apr;29(2):206-216. doi: 10.3350/cmh.2022.0402. Epub 2022 Dec 22. PMID: 36545708; PMCID: PMC10121293.

4. Ren Z, Xu J, Bai Y, Xu A, Cang S, Du C, Li Q, Lu Y, Chen Y, Guo Y, Chen Z, Liu B, Jia W, Wu J, Wang J, Shao G, Zhang B, Shan Y, Meng Z, Wu J, Gu S, Yang W, Liu C, Shi X, Gao Z, Yin T, Cui J, Huang M, Xing B, Mao Y, Teng G, Qin Y, Wang J, Xia F, Yin G, Yang Y, Chen M, Wang Y, Zhou H, Fan J; ORIENT-32 study group. Sintilimab plus a bevacizumab biosimilar (IBI305) versus sorafenib in unresectable hepatocellular carcinoma (ORIENT-32): a randomised, open-label, phase 2-3 study. Lancet Oncol. 2021 Jul;22(7):977-990. doi: 10.1016/S1470-2045(21)00252-7. Epub 2021 Jun 15. Erratum in: Lancet Oncol. 2021 Aug;22(8):e347. PMID: 34143971.

5. Finn RS, Qin S, Ikeda M, Galle PR, Ducreux M, Kim TY, Kudo M, Breder V, Merle P, Kaseb AO, Li D, Verret W, Xu DZ, Hernandez S, Liu J, Huang C, Mulla S, Wang Y, Lim HY, Zhu AX, Cheng AL; IMbrave150 Investigators. Atezolizumab plus Bevacizumab in Unresectable Hepatocellular Carcinoma. N Engl J Med. 2020 May 14;382(20):1894-1905. doi: 10.1056/NEJMoa1915745. PMID: 32402160.

6. Qin S, Chan SL, Gu S, Bai Y, Ren Z, Lin X, Chen Z, Jia W, Jin Y, Guo Y, Hu X, Meng Z, Liang J, Cheng Y, Xiong J, Ren H, Yang F, Li W, Chen Y, Zeng Y, Sultanbaev A, Pazgan-Simon M, Pisetska M, Melisi D, Ponomarenko D, Osypchuk Y, Sinielnikov I, Yang TS, Liang X, Chen C, Wang L, Cheng AL, Kaseb A, Vogel A; CARES-310 Study Group. Camrelizumab plus rivoceranib versus sorafenib as first-line therapy for unresectable hepatocellular carcinoma (CARES-310): a randomised, open-label, international phase 3 study. Lancet. 2023 Sep 30;402(10408):1133-1146. doi: 10.1016/S0140-6736(23)00961-3. Epub 2023 Jul 24. PMID: 37499670.

7. Bruix J, Qin S, Merle P, Granito A, Huang YH, Bodoky G, Pracht M, Yokosuka O, Rosmorduc O, Breder V, Gerolami R, Masi G, Ross PJ, Song T, Bronowicki JP, Ollivier-Hourmand I, Kudo M, Cheng AL, Llovet JM, Finn RS, LeBerre MA, Baumhauer A, Meinhardt G, Han G; RESORCE Investigators. Regorafenib for patients with hepatocellular carcinoma who progressed on sorafenib treatment (RESORCE): a randomised, double-blind, placebo-controlled, phase 3 trial. Lancet. 2017 Jan 7;389(10064):56-66. doi: 10.1016/S0140-6736(16)32453-9. Epub 2016 Dec 6. Erratum in: Lancet. 2017 Jan 7;389(10064):36. PMID: 27932229.

8. Zhu AX, Kang YK, Yen CJ, Finn RS, Galle PR, Llovet JM, Assenat E, Brandi G, Pracht M, Lim HY, Rau KM, Motomura K, Ohno I, Merle P, Daniele B, Shin DB, Gerken G, Borg C, Hiriart JB, Okusaka T, Morimoto M, Hsu Y, Abada PB, Kudo M; REACH-2 study investigators. Ramucirumab after sorafenib in patients with advanced hepatocellular carcinoma and increased α-fetoprotein concentrations (REACH-2): a randomised, double-blind, placebo-controlled, phase 3 trial. Lancet Oncol. 2019 Feb;20(2):282-296. doi: 10.1016/S1470-2045(18)30937-9. Epub 2019 Jan 18. PMID: 30665869.

9. Qin S, Chen Z, Fang W, Ren Z, Xu R, Ryoo BY, Meng Z, Bai Y, Chen X, Liu X, Xiao J, Ho GF, Mao Y, Wang X, Ying J, Li J, Zhong W, Zhou Y, Siegel AB, Hao C. Pembrolizumab Versus Placebo as Second-Line Therapy in Patients From Asia With Advanced Hepatocellular Carcinoma: A Randomized, Double-Blind, Phase III Trial. J Clin Oncol. 2023 Mar 1;41(7):1434-1443. doi: 10.1200/JCO.22.00620. Epub 2022 Dec 1. PMID: 36455168; PMCID: PMC9995104.

10. Qin S, Ren Z, Meng Z, Chen Z, Chai X, Xiong J, Bai Y, Yang L, Zhu H, Fang W, Lin X, Chen X, Li E, Wang L, Chen C, Zou J. Camrelizumab in patients with previously treated advanced hepatocellular carcinoma: a multicentre, open-label, parallel-group, randomised, phase 2 trial. Lancet Oncol. 2020 Apr;21(4):571-580. doi: 10.1016/S1470-2045(20)30011-5. Epub 2020 Feb 26. PMID: 32112738.

11. Ren Z, Ducreux M, Abou-Alfa GK, Merle P, Fang W, Edeline J, Li Z, Wu L, Assenat E, Hu S, Rimassa L, Zhang T, Blanc JF, Pan H, Ross P, Yen CJ, Tran A, Shao G, Bouattour M, Chen Y, Meyer T, Hou J, Tougeron D, Bai Y, Hou MM, Meng Z, Wu J, Li V, Chica-Duque S, Cheng AL. Tislelizumab in Patients with Previously Treated Advanced Hepatocellular Carcinoma (RATIONALE-208): A Multicenter, Non-Randomized, Open-Label, Phase 2 Trial. Liver Cancer. 2022 Oct 4;12(1):72-84. doi: 10.1159/000527175. PMID: 36872927; PMCID: PMC9982342.

12. 2023 ESMO poster #1012P. First-in-human study of ABSK-011, a novel, highly selective fibroblast growth factor receptor (FGFR) 4 inhibitor for treating advanced hepatocellular carcinoma (HcC) with FGF19 overexpression.

阅读原文


电话:(+86) 021-68912098

邮箱:Bd@abbisko.com
   PR@abbisko.com
   IR@abbisko.com

版权所有 © 2021 :上海和誉生物医药科技有限公司     沪ICP备17056565号-1    沪公网安备31011502401700